

Dental implants are the gold standard for replacing missing teeth, offering a permanent solution that looks, feels, and functions like natural teeth. At Dolan Dental, Dr. Fran Dolan specializes in ceramic, metal-free implants that integrate naturally with your body. Our advanced technology and expertise ensure comfortable procedures with lasting, beautiful results that restore your smile and confidence.
We offer a wide range of services to help you achieve your goals.
Replace one missing tooth with a ceramic implant and custom crown for natural results.
Replace several missing teeth with strategically placed implants supporting custom restorations.
Replace an entire arch of teeth with implant-supported fixed bridges or dentures.

Four strategically placed implants support a full arch of replacement teeth.
Secure dentures with implants for improved stability, comfort, and chewing function.
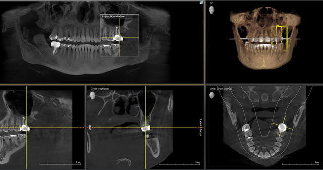
Metal-free, biocompatible ceramic implants that integrate naturally with your jawbone.


Dr. Dolan's Fellowship training and ceramic implant expertise provide superior results.

We use cutting-edge ceramic implant technology for superior biocompatibility.

At Dolan Dental, we believe dental implants should enhance your life, not just replace teeth. Our ceramic implant technology represents the future of tooth replacement—metal-free, biocompatible, and naturally beautiful. Dr. Dolan's expertise ensures your implants integrate seamlessly for a lifetime of confident smiles and comfortable function.